Orthodontie de l’enfant

 

L’évolution des 1éres dents définitives vers 6-7 ans est concomitante des traitements les plus précoces réalisables en orthodontie. Une consultation plus précoce permet de rassurer, d’appréhender une éventuelle dysmorphose et de déterminer avec les parents l’âge idéal d’intervention.
Ces traitements en denture mixte sont dits « interceptifs », ont une durée généralement limitée à 6 mois et ont pour objectif la correction d’un problème ponctuel affectant la croissance des maxillaires et induisant des parafonctions. Ils sont souvent associés à une prise en charge en collaboration avec le pédiatre, l’ORL, orthophoniste et ostéopathe.

Une surveillance systématique est mise en place après cette phase interceptive, jusqu’à 11- 12 ans en moyenne. Quelques exemples d’une liste non exhaustive :

Succion du pouce

 

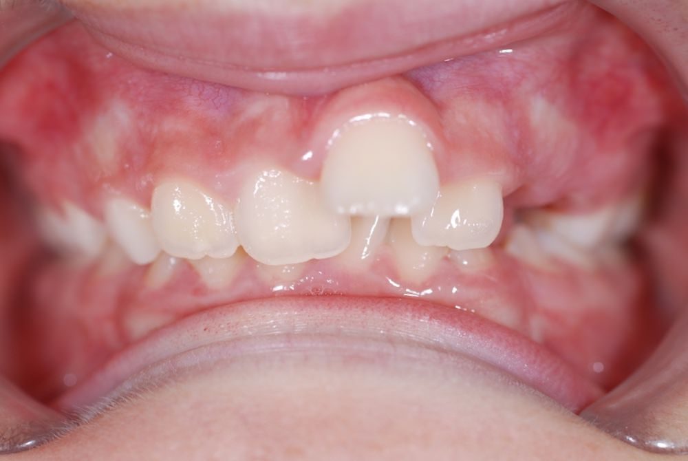
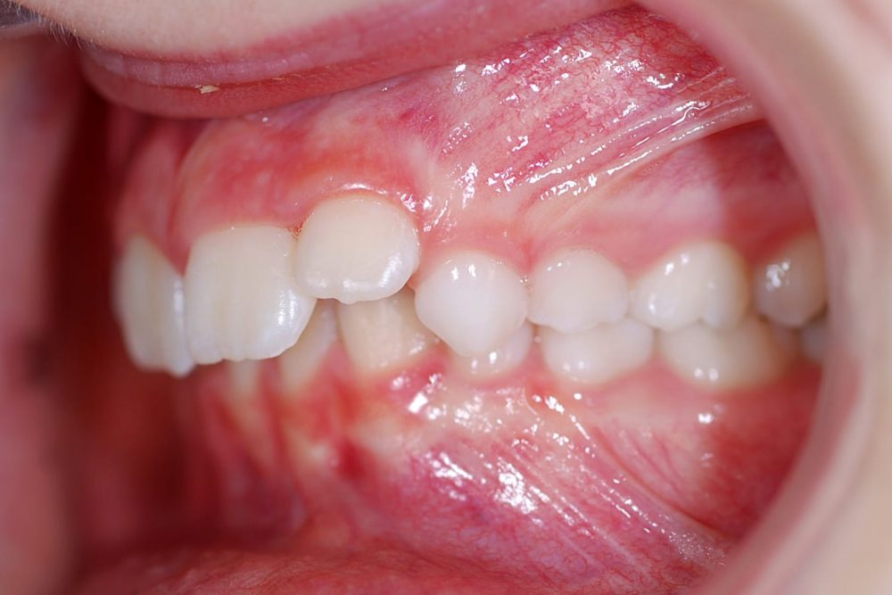
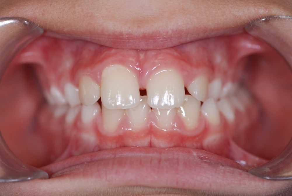
Évolution anormale des incisives et encombrement transitoire

 

Déficit transversal de croissance du palais

 

Décalage de croissance entre les 2 arcades

 

Spécificité de l’étape de traitement 

Ils sont souvent associés à une prise en charge en collaboration avec le pédiatre, l’ORL, orthophoniste et ostéopathe.
Une surveillance systématique est mise en place après cette phase interceptive, jusqu’à 12 ans.