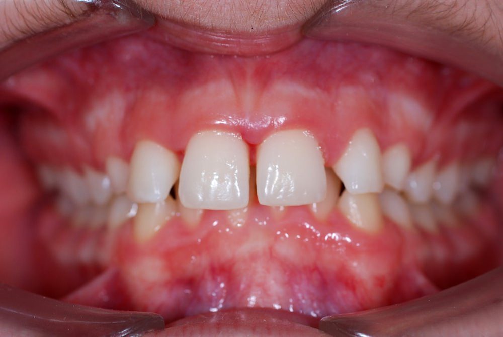
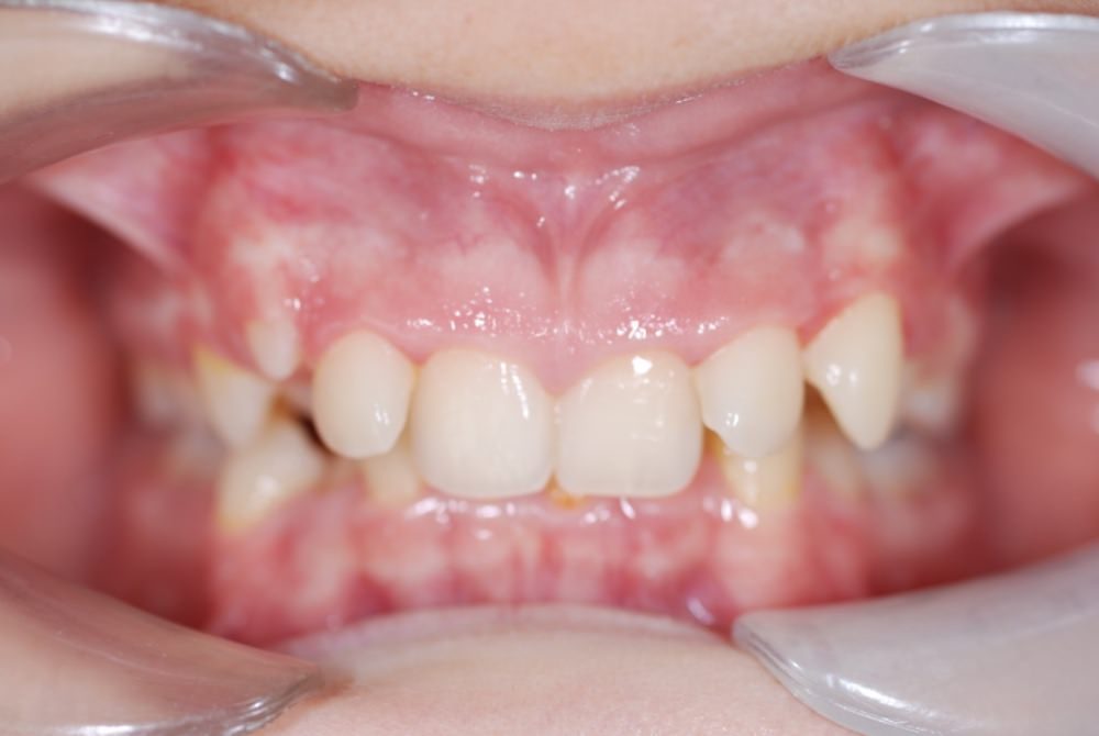
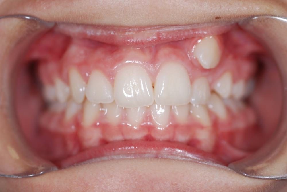
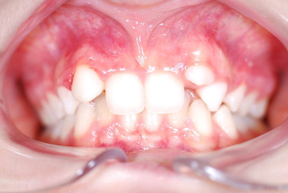
Orthodontie de l’adolescent

Ce traitement dit « multibague » concerne l’enfant vers 11-12 ans, en denture définitive.
A cet âge l’orthodontie propose une approche plus globale, pour la correction de l’ensemble des dysharmonies, dans le but de normaliser les fonctions, et de rétablir une esthétique du sourire améliorée.
Chaque cas est particulier, dans sa complexité, sa durée.
Il sera aussi dépendant de la coopération du patient dans le respect des consignes de traitement.

 

Nous avons fait le choix au sein du cabinet d’utiliser exclusivement des brackets autoligaturants qui assurent, sans élastiques, une meilleure hygiène, une esthétique inégalée mais surtout des propriétés mécaniques d’expansion réduisant la nécessité d’avulsions de prémolaires.

 

Le traitement multibague est généralement associé à différents auxiliaires nous permettant d’obtenir un résultat conforme à notre plan de traitement, dont l’utilité est fonction des décalages et de la croissance.

 

Nous utilisons régulièrement des minivis d’ancrage permettant sans coopération particulière la correction des décalages d’arcades, d’encombrements dentaires.

 

L’orthodontie permet aussi de pallier à l’absence de certaines dents définitives

 

ou d’assurer l’évolution de dents incluses