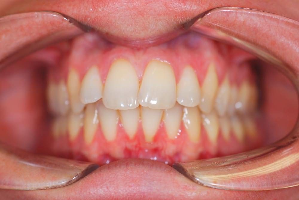
Orthodontie de l’adulte

 

Ces traitements adultes reprennent les mêmes principes que le traitement multibague de l’adolescent : globalité, individualisation selon votre cas et résultat optimal.
Mais certaines exigences particulières comme la présence d’édentements, de prothèses dentaires, maladies parodontales…ou simplement des contraintes socio-professionnelles, peuvent nous inciter à effectuer des compromis dans le plan de traitement, ou à opter pour des techniques plus discrètes.

Nous vous proposons au sein du cabinet 2 techniques pour l’adulte dont la pertinence dépend de votre cas, chaque traitement ayant ses intérêts propres.

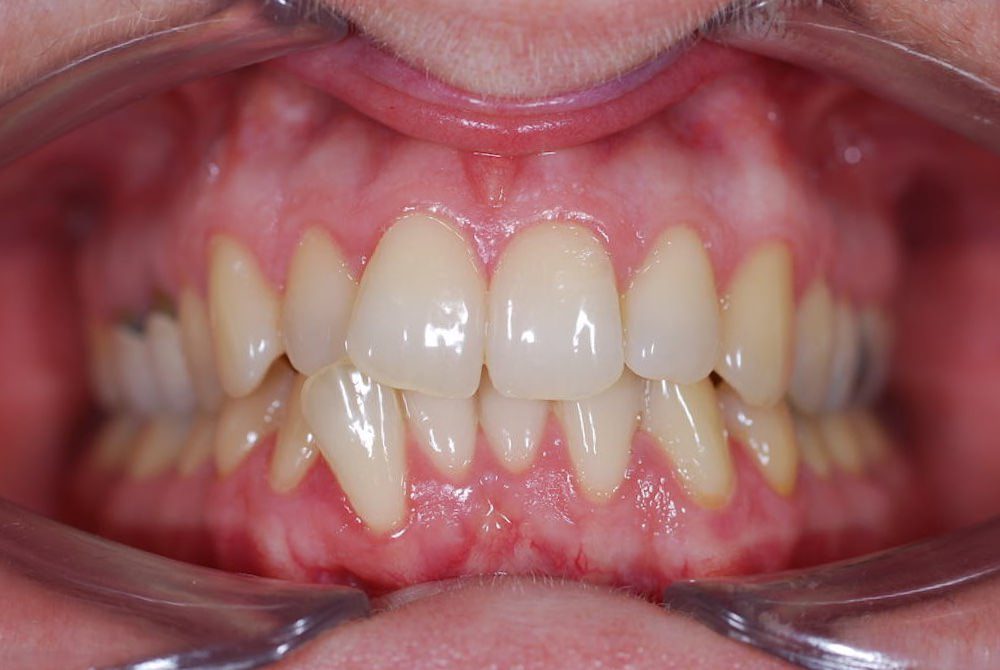
Le traitement multibague esthétique DAMON, similaire à celui de l’adolescent, il se compose de brackets vestibulaires céramiques, associés à des arcs blancs.

 

L’orthodontie par gouttières SPARK, traitement amovible par port de gouttières successives transparentes 22h /24 ; le nombre de gouttières nécessaires sera déterminé par un « Approver » 3D validé par le praticien et le patient en fonction du plan de traitement décidé.